医学论文披露新冠病毒去年12月底已在法国传播
医学期刊《国际抗菌剂杂志》网站显示,法国巴黎东北郊塞纳-圣但尼医院集团主持撰写的短篇通讯论文已于5月3日上线发表,其标题为《新冠病毒2019年12月底已在法国传播》。文章作者之一的重症监护室医生科昂(Yves Cohen),当地时间5月3日晚法国商业调频电视台(BFMTV)的直播节目中披露了研究结论,引发舆论关注。

△图为论文首页
论文显示,研究人员选取了14个在2019年12月2日到2020年1月16日期间因类流感疾病(ILI)入住重症监护室的病例,并将其鼻咽拭子从零下80摄氏度的冷藏环境中取出,于今年4月6日到4月9日重新进行新冠病毒核酸检测。值得注意的是,这些病例在入院时接受FilmArray快速呼吸道病原体检测结果呈阴性。
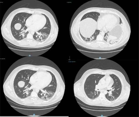
研究人员此番发现,一名42岁男子的样本新冠病毒检测呈阳性。该男子出生在阿尔及利亚,已长居法国多年,职业为鱼贩,最近一次旅行是在2019年8月前往阿尔及利亚。他于去年12月27日到急诊室就医,CT检查显示双侧肺下叶呈现磨玻璃影,并伴有咯血、咳嗽、头痛及发热症状,且当时症状已持续4天。病患当天被收入重症监护室并进行抗生素治疗,后因病情好转于12月29日解除重症监护。

△图为病患CT检测影像
论文指出,由于这一病例与中国缺乏关联,并且在发病前没有临近旅行史,这表明新冠病毒2019年12月底已在法国人当中传播,比2020年1月24日官方首次确诊病例早了近1个月。由此也可推测,在2020年1月期间法国或存在大量无症状感染者,他们造成了病毒的进一步扩散。论文还称,这一发现改变了对于法国新冠肺炎疫情发展的认知,此前相应的研究模型需要就此作出调整。(总台记者 邹合义)



